Акции клиники
Елена Александровна Руководитель сети клиник Семейной Стоматологии
В Клинике Семейной Стоматологии невозможное возможно
Теперь качественное лечение с высоким сервисом внимания и заботы стало доступным.
План лечения под ваш бюджет
На первичной консультации
вы получите 3 варианта лечения:
эконом, стандарт и премиум.Понятное ценообразование
Вы всегда знаете, сколько и за что вы платите. Неприятные сюрпризы на ресепшн после лечения исключены!
Личный менеджер на связи 24/7
Стом-помощник напомнит
о приеме, соединит с доктором, если возникнет срочный вопрос и другое.
Отзывы о нас на популярных сайтах
Стоимость лечения в Клинике Семейной Стоматологии
На первичной консультации, после осмотра и диагностики состояния зубов, врач составит подробный план лечения и озвучит окончательную стоимость, которая фиксируется в договоре.
Увеличение стоимости в процессе лечения исключено!
- Знакомство с доктором, подробная беседа
- Тщательный осмотр зубов и полости рта
- Онконастороженность, осмотр мягких тканей
- Фотопротокол — фото в разных ракурсах
- Компьютерная томография (при необходимости)
- Анализ результатов 3D-диагностики
- Подробный разбор ситуации вместе с доктором, с учетом всех данных: осмотра, фотопротокола, 3D-диагностики
- Составление плана лечения в 2-3 вариантах

(осмотр, фотопротокол, консультация, составление плана лечения)
(осмотр, фотопротокол, консультация, составление плана лечения)
(осмотр, фотопротокол, консультация, составление плана лечения)
(осмотр, фотопротокол, консультация, составление плана лечения)
КТ-диагностика позволяет сделать снимок в 3D, что дает возможность стоматологам точно и быстро поставить диагноз и предложить пациенту оптимальное решение его проблемы
Обзорный 2D-снимок всей ротовой полости, одновременно дает панорамное изображение верхней и нижней челюстей.
Выполняется на визиографе с низкой лучевой нагрузкой. Применяется, чтобы поставить диагноз в зоне 1-2 зубов.
Врачи нашей клиники работают по мировым стандартам, поэтому мы планируем лечение, исходя из данных 3D-снимка (КЛКТ).
На сегодня это стандарт в стоматологии. КЛКТ потребуется, при объемном терапевтическом лечении, при подготовке к имплантации, протезированию, ортодонтии. С его помощью можно выявить глубокие поражения зубов, костные изменения, нарушения прикуса.
- Консультация
- Лечение кариеса
- Лечение пульпита (1 канал)
- Лечение периодонтита

Восстановление зуба пломбой с использованием материалов из фотополимеров "СТАНДАРТ"
Восстановление зуба пломбой с использованием материалов из фотополимеров "ОПТИМУМ"
Восстановление зуба с использованием материалов из фотополимеров - "ЭСТЕТИКА" (Художественная реставрация в лечебных целях)
Использование микроскопа при лечении кариеса
Использование микроскопа при эндодонтическом лечении
1. Анестезия аппликационная - безболезненная дальнейшая инъекция
2. Анестезия инъекционная: инфильтрационная или проводниковая
3. Инструментальная и медикаментозная обработка каналов.
4. Пломбирование корневого канала зуба гуттаперчевыми штифтами (метод латеральной конденсации гуттаперчи)
5. Наложение временной пломба из композитного материала.
6. Восстановление постоянного зуба пломбой после проведенного эндолечения с использованием материалов из фотополимеров.
1. Анестезия аппликационная - безболезненная дальнейшая инъекция
2. Анестезия инъекционная: инфильтрационная или проводниковая
3. Инструментальная и медикаментозная обработка каналов.
4. Пломбирование корневого канала зуба гуттаперчевыми штифтами (метод латеральной конденсации гуттаперчи)
5. Наложение временной пломба из композитного материала.
6. Восстановление постоянного зуба пломбой после проведенного эндолечения с использованием материалов из фотополимеров.
Врачи нашей клиники работают по мировым стандартам, поэтому мы планируем лечение, исходя из данных 3D-снимка (КЛКТ).
На сегодня это стандарт в стоматологии. КЛКТ потребуется, при объемном терапевтическом лечении, при подготовке к имплантации, протезированию, ортодонтии. С его помощью можно выявить глубокие поражения зубов, костные изменения, нарушения прикуса
- Консультация
- Удаление постоянного подвижного зуба
- Удаление постоянного зуба (простое)
- Удаление постоянного зуба (сложное)
- Удаление восьмого зуба

1. Анестезия аппликационная - безболезненная дальнейшая инъекция
2. Анестезия инъекционная: инфильтрационная или проводниковая
3. Удаление постоянного зуба. Рентгенологический контроль после удаления зуба
1. Анестезия аппликационная - безболезненная дальнейшая инъекция
2. Анестезия инъекционная: инфильтрационная или проводниковая
3. Удаление постоянного зуба. Рентгенологический контроль после удаления зуба
1. Анестезия аппликационная - безболезненная дальнейшая инъекция
2. Анестезия инъекционная: инфильтрационная или проводниковая
3. Сложное удаление зуба с разъединением корней
4. Наложение шва на слизистую оболочку полости рта
5. Рентгенологический контроль после удаления зуба
1. Анестезия аппликационная - безболезненная дальнейшая инъекция
2. Анестезия инъекционная: инфильтрационная или проводниковая
3. Удаление зуба
4. Наложение шва на слизистую оболочку полости рта.
5. Рентгенологический контроль после удаления зуба.
Врачи нашей клиники работают по мировым стандартам, поэтому мы планируем лечение, исходя из данных 3D-снимка (КЛКТ).
На сегодня это стандарт в стоматологии. КЛКТ потребуется, при объемном терапевтическом лечении, при подготовке к имплантации, протезированию, ортодонтии. С его помощью можно выявить глубокие поражения зубов, костные изменения, нарушения прикуса
- Консультация врача-пародонтолога
- Ультразвуковая обработка патологических зубодесневых карманов Vector
- Ультразвуковая обработка патологических зубодесневых карманов Vector
- Аппликация лекарственного препарата на слизистую оболочку полости рта

1 процедура обработки патологических зубодесневых карманов Vector
1 процедура обработки патологических зубодесневых карманов Vector в области 1 зуба
аппликация лекарственного препарата на слизистую оболочку полости рта
Врачи нашей клиники работают по мировым стандартам, поэтому мы планируем лечение, исходя из данных 3D-снимка (КЛКТ).
На сегодня это стандарт в стоматологии. КЛКТ потребуется, при объемном терапевтическом лечении, при подготовке к имплантации, протезированию, ортодонтии. С его помощью можно выявить глубокие поражения зубов, костные изменения, нарушения прикуса
- Профессиональная гигиена полости рта Norma
- Профессиональная гигиена Orto
- Профессиональная гигиена Paro
- Профессиональная гигиена Smokie

1. Анестезия аппликационная
2. Снятие зубных отложений и камня при помощи УЗ аппарата
3. Удаление зубных отложений пескоструйным аппаратом Prophyflex
4. Применяется Кальций содержащий, не абразивный порошок
5. Шлифовка, полировка специальными пастами и щетками
6. Аппликация фторсодержащих реминерализирующих препаратов
при соблюдении графика посещений 1 раз в 4 месяца
1. Анестезия аппликационная
2. Снятие зубных отложений и камня при помощи УЗ аппарата EMS
3. Удаление зубных отложений пескоструйным аппаратом Prophyflex
4. Применяется Кальций содержащий, не абразивный порошок
5. Шлифовка, полировка специальными пастами и щетками
6. Аппликация фторсодержащих реминерализирующих препаратов
1. Анестезия аппликационная
2. Снятие зубных отложений и камня при помощи УЗ аппарата.
3. Дополнительная противовоспалительная инстилляция десневых карманов
4. Удаление зубных отложений пескоструйным аппаратом Prophyflex
5. Применяется специальный Perio порошок, котрым можно работать в поддесневой области
6. Шлифовка, полировка специальными пастами и щетками
7. Аппликация фторсодержащих реминерализирующих препаратов
1. Анестезия аппликационная
2. Снятие зубных отложений и камня при помощи УЗ аппарата
3. Удаление зубных отложений пескоструйным аппаратом Prophyflex
4. Применяется 2 вида порошка для достижения результата
5. Шлифовка, полировка специальными пастами и щетками
6. Аппликация фторсодержащих реминерализирующих препаратов
(при соблюдении графика посещений 1 раз в 6 месяцев)
Врачи нашей клиники работают по мировым стандартам, поэтому мы планируем лечение, исходя из данных 3D-снимка (КЛКТ).
На сегодня это стандарт в стоматологии. КЛКТ потребуется, при объемном терапевтическом лечении, при подготовке к имплантации, протезированию, ортодонтии. С его помощью можно выявить глубокие поражения зубов, костные изменения, нарушения прикуса
- Консультация врача-стоматолога (пародонтолога)
- Отбеливание зубов Zoom 4
- Ременирализация зубов
- Фторирование зубов

Местное применение реминерализующих препаратов в области всех зубов (кабинетная профилактика фтор-содержащим гелем на все зубы
Глубокое фторирование твердых тканей зубов (эмаль-ликвид) 1 зуб
Врачи нашей клиники работают по мировым стандартам, поэтому мы планируем лечение, исходя из данных 3D-снимка (КЛКТ).
На сегодня это стандарт в стоматологии. КЛКТ потребуется, при объемном терапевтическом лечении, при подготовке к имплантации, протезированию, ортодонтии. С его помощью можно выявить глубокие поражения зубов, костные изменения, нарушения прикуса
- Консультация стоматолога-имплантолога
- Изготовление позиционера
- Имплантат c установкой OSSTEM, Южная Корея
- Имплантат c установкой NEOBIOTECH, Южная Корея
- Имплантат c установкой STRAUMANN, Швейцария
- Синус-лифтинг (Костная пластика, остеопластика)
- Имплантация c немедленной нагрузкой

Хирургический шаблон для имплантации на жестком базисе в области 1 челюсти с фиксацией на соседних зубах
Хирургический шаблон для имплантации на жестком базисе в области 1 челюсти с опорой на слизистую
Операция по установке зубного имплантата OSSTEM и сам имплантат
Операция по установке зубного имплантата ANYRIDGE и сам имплантат
Операция по установке зубного имплантата STRAUMANN и сам имплантат
Операция по подсаживанию костной ткани (без учёта стоимости остеопластических материалов)
Операция по установке зубного имплантата, сам имплантат и временная коронка
Врачи нашей клиники работают по мировым стандартам, поэтому мы планируем лечение, исходя из данных 3D-снимка (КЛКТ).
На сегодня это стандарт в стоматологии. КЛКТ потребуется, при объемном терапевтическом лечении, при подготовке к имплантации, протезированию, ортодонтии. С его помощью можно выявить глубокие поражения зубов, костные изменения, нарушения прикуса
Хирургический этап:
- 4 имплантат Osteem
- Хирургический шаблон (уменьшение рисков ручной работы)
- Анестезия
- Работа хирурга-имплантолога
Ортопедический этап:
- Многокомпонентный абатмент
- Лечебный адаптационный протез
- Стоматолога-ортопеда

(4 имплантат Osteem, хирургический шаблон (уменьшение рисков ручной работы), анестезия, работа хирурга-имплантолога)
(многокомпонентный абатмент, лечебный адаптационный протез, стоматолога-ортопеда)
Врачи нашей клиники работают по мировым стандартам, поэтому мы планируем лечение, исходя из данных 3D-снимка (КЛКТ).
На сегодня это стандарт в стоматологии. КЛКТ потребуется, при объемном терапевтическом лечении, при подготовке к имплантации, протезированию, ортодонтии. С его помощью можно выявить глубокие поражения зубов, костные изменения, нарушения прикуса
- Консультация стоматолога-ортопеда
- Снятие оттиска с одной челюсти
- Восстановление зуба коронкой (композит)
- Восстановление зуба вкладкой/виниром/коронкой (керамика)
- Восстановление зуба коронкой (цирконий)
- Протезирование зуба с использованием имплантата
- Съемное протезирование
- Частично-съемное протезирование

силиконовый (класс "А", класс "С") или альгинатный
1. Временной изготовленной из Композита
2. Временной пластмассовой изготовленной методом фрезерования
3. Металлокерамика (искусственный зуб)
Восстановление зуба вкладкой/виниром/коронкой керамической Е-MAX с нанесением керамической массы
1. Восстановление зуба коронкой (искусственный зуб) из диоксида циркония в полную анатомию
2. Восстановление зуба коронкой из диоксида циркония с нанесением керамической массы
Протезирование зуба с использованием имплантата. Металлокерамическая коронка на имплантат
1. Протезирование зуба с использованием имплантата. Коронка из диоксида циркония в полную анатомию на имплантат
2. Протезирование зуба с использованием имплантата. Коронка из диоксида циркония с нанесением керамической массы на имплантате
1. Протезирование съемными пластиночными протезами - временный пластмассовый съёмный протез. (Срок гарантии и службы 6 мес.)
2. Протезирование зубов полными съемными пластиночными протезами - постоянный пластмассовый полный съёмный протез
1. Протезирование частичными съемными пластиночными протезами-постоянный пластмассовый частичный съёмный протез
2. Протезирование частичными съемными пластиночными протезами нейлоновый съёмный протез более 4-х зубов
3. Протезирование частичными съемными протезами - бюгельный съёмный протез с фиксацией на опорно-удерживающих кламмерах
4. Протезирование частичными съемными протезами - бюгельный съёмный протез с фиксацией на аттачменах
Врачи нашей клиники работают по мировым стандартам, поэтому мы планируем лечение, исходя из данных 3D-снимка (КЛКТ).
На сегодня это стандарт в стоматологии. КЛКТ потребуется, при объемном терапевтическом лечении, при подготовке к имплантации, протезированию, ортодонтии. С его помощью можно выявить глубокие поражения зубов, костные изменения, нарушения прикуса
- Первичная ортодонтическая диагностика
- Металлические брекеты
- Металлические самолигирующие брекеты

Включает металлическую лигатурную систему на одну челюсть и её установку
Включает металлическую безлигатурную систему на одну челюсть и её установку
Установка элайнеров Damon Q. Рассрочка от 20 000₽ в месяц, без %
Установка элайнеров Damon Clear. Рассрочка от 26 670₽ в месяц, без %
Врачи нашей клиники работают по мировым стандартам, поэтому мы планируем лечение, исходя из данных 3D-снимка (КЛКТ).
На сегодня это стандарт в стоматологии. КЛКТ потребуется, при объемном терапевтическом лечении, при подготовке к имплантации, протезированию, ортодонтии. С его помощью можно выявить глубокие поражения зубов, костные изменения, нарушения прикуса
Первичная консультация в Клинике Семейной Стоматологии проходит по мировым стандартам
- Осмотр
Осмотр, анализ состояния зубов и полости рта
- Фотопротокол
Фотопротокол, который наглядно визуализирует состояние ваших зубов
- КТ-диагностика
Которая позволяет поставить более точный диагноз заболеваний
- План лечения
План с подробным описанием этапов, сроков и стоимости лечения
По итогу диагностики
вы получите поэтапный
план лечения
- Визуализация исходной
ситуации на основе диагностики - Этапы лечения с детализированным
описанием каждого приема - Итоговый расчет стоимости курса
лечения. Увеличение в процессе
исключено!
Врачи клиники
Команда врачей клиники Семейной Стоматологии – это профессионалы,
которым можно доверить свое здоровье
Лечение пройдет легко
и безболезненно
Бережно восстановим здоровье зубов с гарантией от 3 до 10 лет.
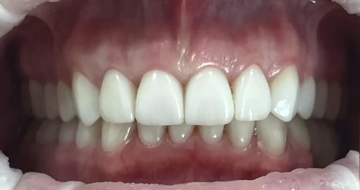
Посмотрите примеры работ наших врачей и оцените результат.












































